Dental x-rays are routine, and our experienced New Jersey dental team advises our patients to get at least one full set of x-rays per year. That being said, there are times where patients are hesitant to have dental x-rays done, as they wonder whether they are both safe and truly necessary. Of course, these are completely fair and honest concerns, which is why our team has composed this blog. Please continue reading and speak with our dental team to learn more about dental x-rays. Here are some of the questions you may have:
Are dental x-rays safe to have done yearly?
This is one of the most common questions we receive. Dental x-rays use radiation, which is why so many people are skeptical of having them done on a yearly basis. However, the radiation used in the x-rays is minimal, and they are widely considered safe for adults and children. Not only are the x-rays themselves safe, but you will also use a “bib” that protects you from radiation exposure as well.
What are the benefits of having x-rays done?
There are various reasons why you should consider having x-rays done at the dentist. To start, having x-rays done can detect any oral health issues you may have, such as potential tooth decay, cavities, and more. The bottom line is that these x-rays can drastically decrease the chances of you developing periodontal disease, which can lead to serious health issues down the line. As with all medical problems, the sooner they are detected, the better.
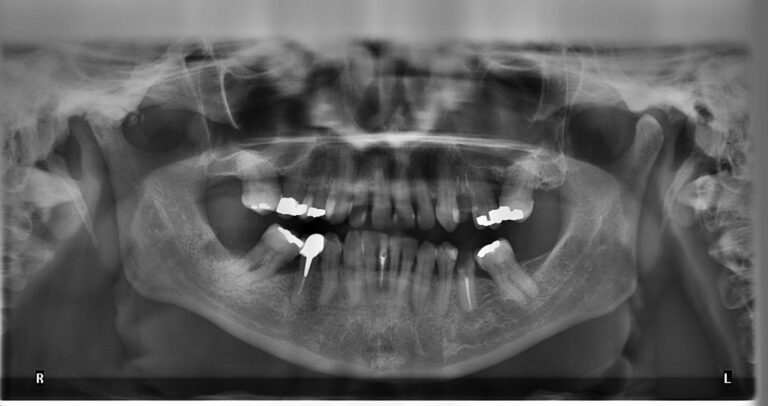
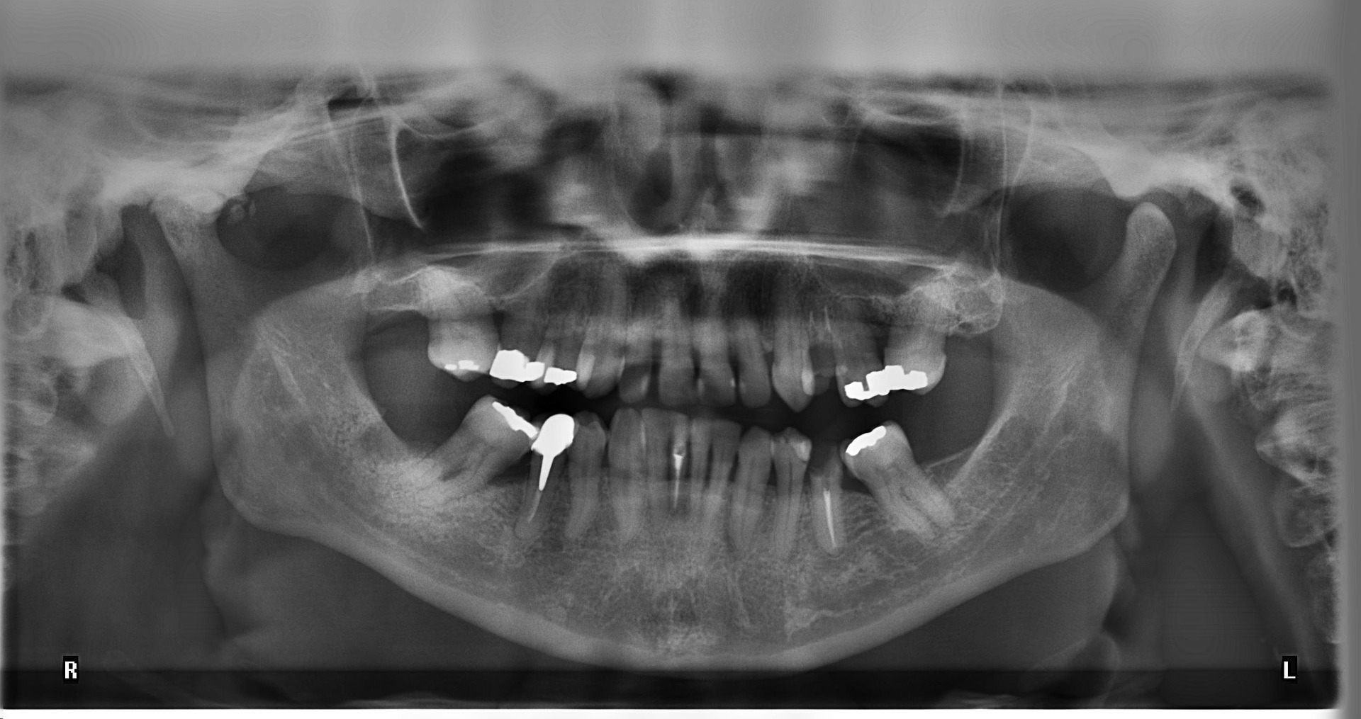
Are there different types of dental x-rays?
The four main types of x-rays that our patients receive are as follows:
- Bitewing: Bitewing x-rays are the most common type of dental x-ray. These are when a patient bites down so a dentist can tell how the crowns of their teeth are aligning. Bitewing x-rays are also used to inform patients whether they are developing cavities.
- Panoramic: These x-rays are generally used to determine whether patients have any issues with their wisdom teeth or jaw. You may also receive panoramic x-rays if you are planning to have dental implants.
- Occlusal: These are to determine whether your upper and bottom teeth align when you close your jaw.
For any further questions, do not hesitate to pick up the phone and give us a call.
Contact the Dental Associates of Basking Ridge
Dental Associates of Basking Ridge is a compassionate, gentle, and professional state-of-the-art dental practice serving Basking Ridge, Morris & Somerset County. Our office is always ready to greet our patients with a smile, take the time to answer any questions, and provide the quality dental services our patients expect. Please contact us to schedule an appointment. We look forward to serving you!


